Gingivectomy

(Gum recontouring)

Close-up of a person's mouth with metal braces on teeth and overgrowth of gum tissue.

Before

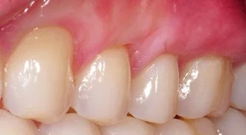
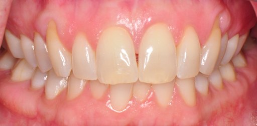
Close-up of a person's upper and lower teeth with appropriately exposed clinical crowns.

After

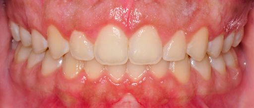
Close-up of teeth showing gingival recession on teeth #6 and #11.

Before

Close-up of a person's upper and lower teeth, showing gingival recession defects on #6 and #11 covered by gum grafts.

After

Connective Tissue Graft

(Gum grafting)

Connective Tissue graft

(Gum grafting)

Close-up of upper front teeth with gingival recession on teeth #11-14.

Before

Close-up of a set of upper teeth showing gingival recession defects on teeth #11-14 successfully covered with gum grafts.

After

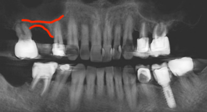
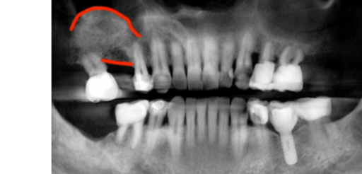
Dental X-ray showing a pneumatized right maxillary sinus with red markings highlighting certain areas.

Before

Panoramic dental X-ray showing with red markings highlighting bone growth after an open sinus lift.

After

Open Sinus Lift

to prepare for implant placement

Comparison of dental before and after photos, showing improved implant health after LAPIP.

Laser Assisted Peri-implantitis Procedure

(To treat peri-implant disease)

Gingival Depigmentation

(Gum bleaching)

Close-up of a person's mouth showing gingival pigment.

Before

Close-up of a smiling mouth showing gingival pigment removed.

After